
Casos Reales
“‘Me habéis cambiado la vida. Gracias a vosotros, ahora puedo sonreír con confianza.’ Frases como esta son parte de nuestro día a día en Dental Experience, y no dejan de emocionarnos. Ver cómo una sonrisa alineada, funcional, rehabilitada, saludable y estética transforma la vida de nuestros pacientes y mejora su forma de relacionarse es, sin duda, nuestra mayor satisfacción.»
Dr. David Sevilla • Director Médico

Cirugía Plástica Periodontal, Implantología Dental, Estética Dental, Cirugía Oral


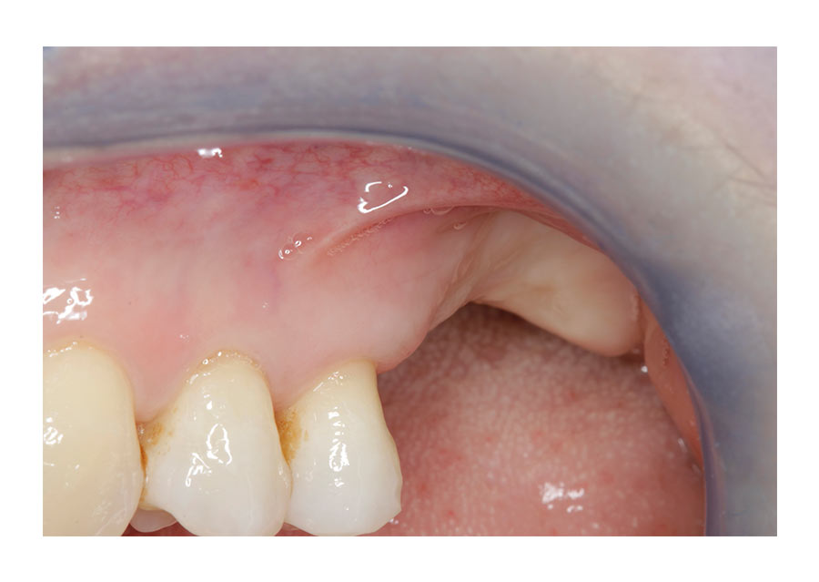
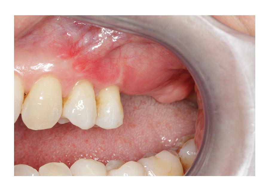
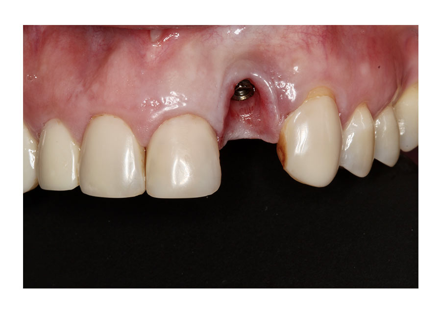
Cirugía plástica para recesión en implante


Carga inmediata en 24 horas


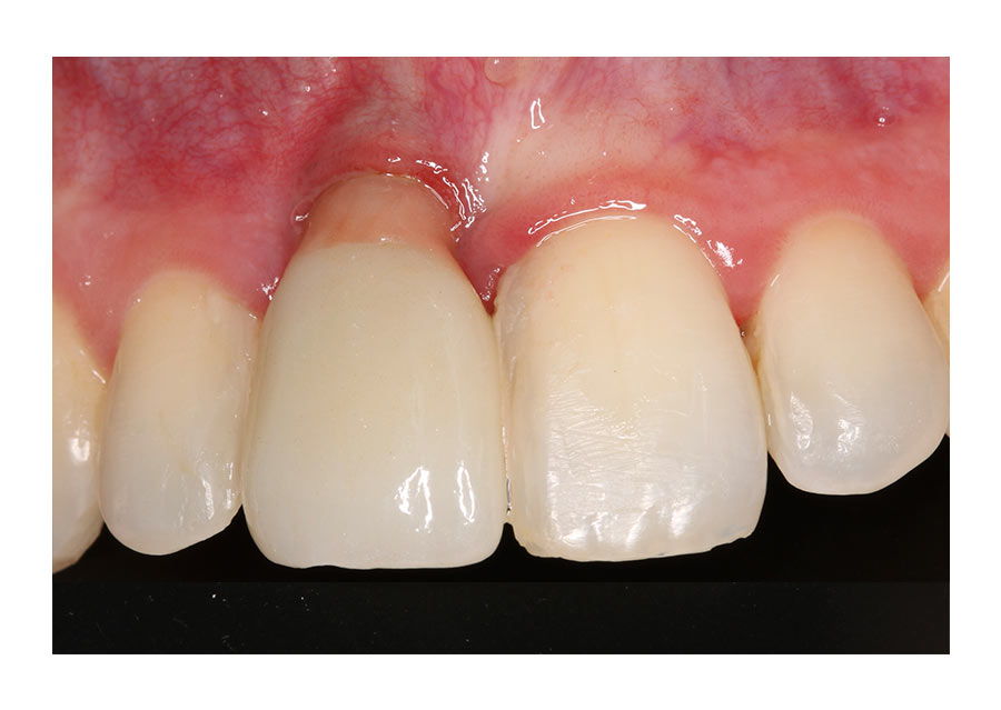
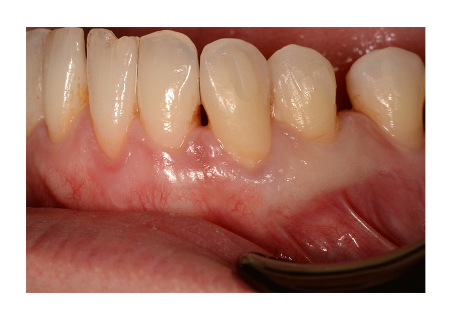
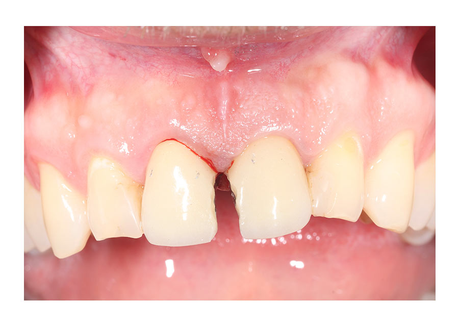
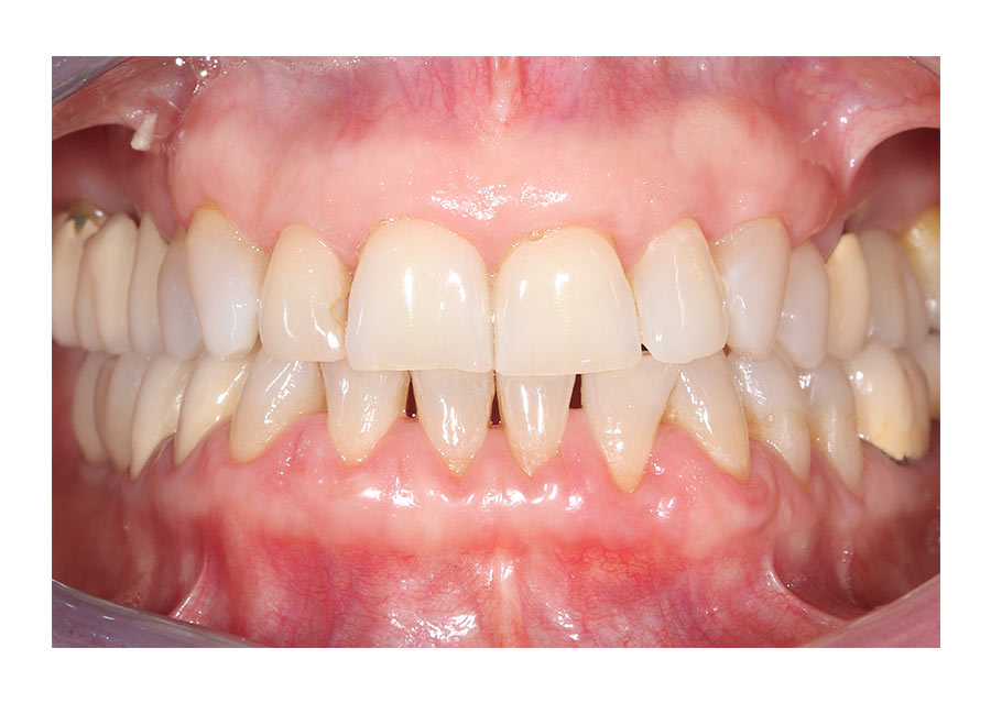
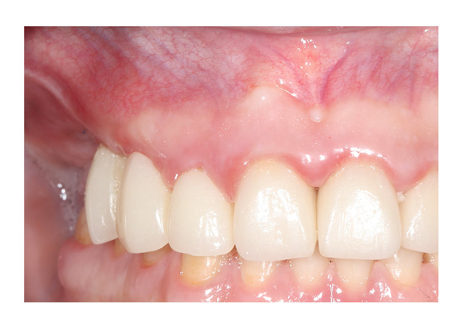
Cirugía Plástica Periodontal en recesión de encía


Regeneración ósea Vertical


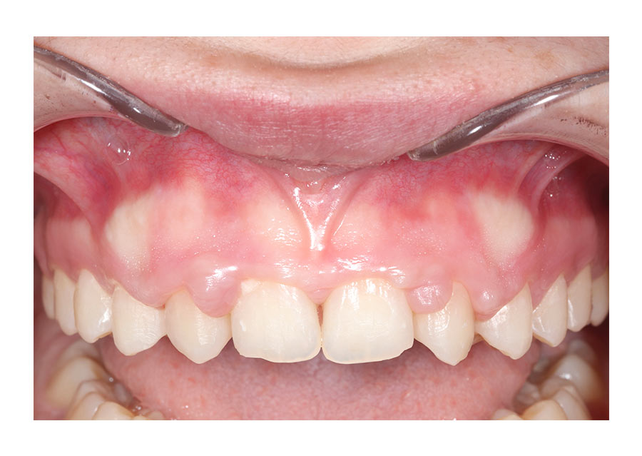
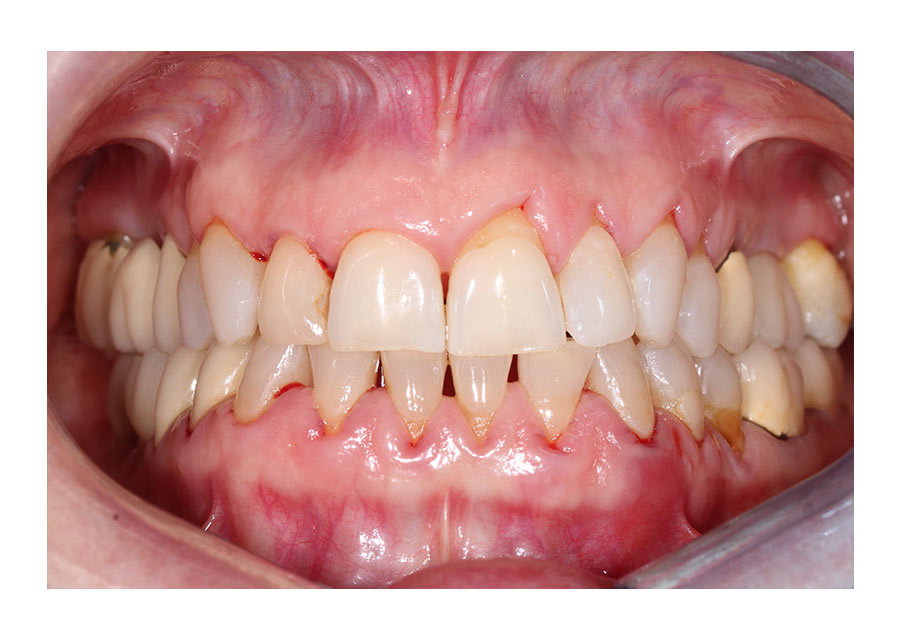
Cirugía Periodontal Estética, alargamientos coronarios.


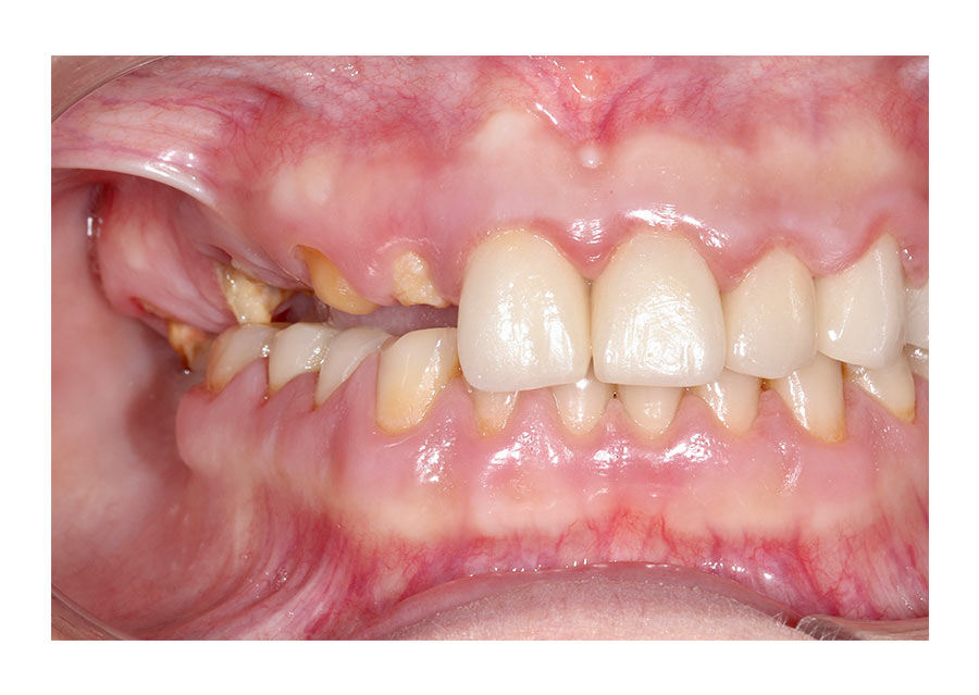
Cirugía plástica para recesión en implante, caso extremo


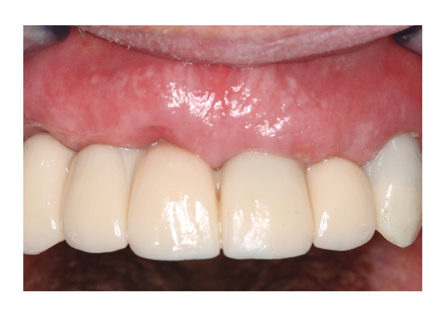
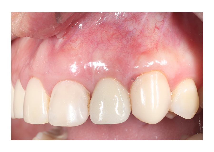
Carillas e implantes de carga inmediata


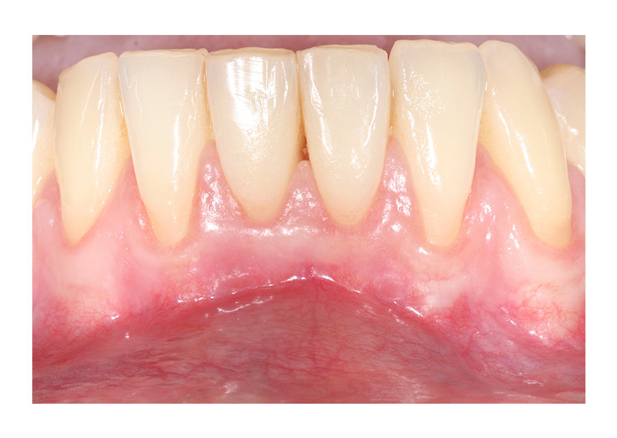
Cirugía Plástica Periodontal en recesión de encía


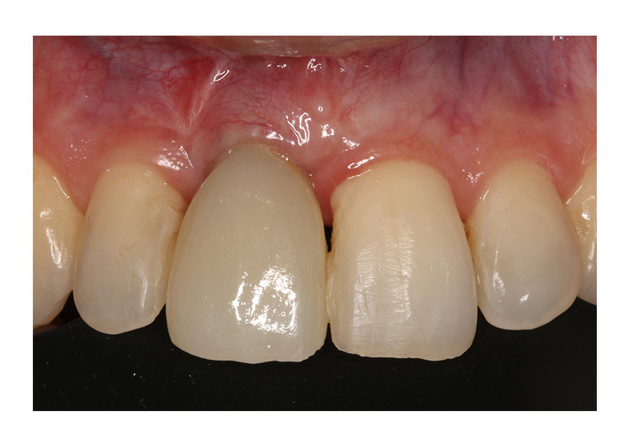
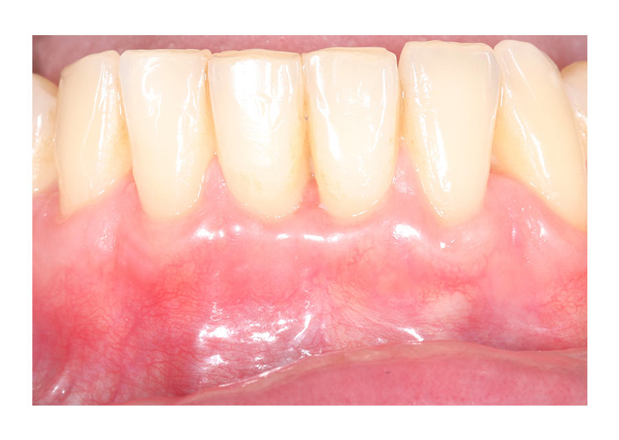
Cirugía Plástica Periodontal en recesión de encía


Carga inmediata en 24 horas.


Cirugía Plástica Alargamientos Estético


























